Schedule: Monday - Saturday - 11 AM - 8 PM
+91 89615 74386
service

Dental Implant

Dental Implant

Affordable, Quality Implants by Dentists you can trust

Having your implants done by our world-class certified expert dentists in Ontario offers many benefits to you as it eliminates several negative outcomes of leaving a lost tooth untreated.

No matter your age, if you have a missing tooth or more, our implant service can restore your ability to chew and smile with confidence.

Once there is a tooth or more missing, a space becomes obvious and the only way to close such a space is to have an implant. Getting an implant is the most effective means to achieving a stabilized ability to bite, chew, and grind. An implant comprises a titanium screw which acts as a root with an artificial tooth placed on the top.

RELATED SERVICES

1. Keyhole Implant :

Receiving Keyhole small diameter dental implants is usually a quick and easy one-appointment procedure. The Keyhole implants mimic your natural tooth root and can be used to stablise a removable denture or as a foundation for a fixed implant supported bridge. A fixed implant supported bridge can be used to replace any number of teeth so it can replace a partial or full denture with solid natural feeling teeth.

Keyhole dental implant surgery is minimally invasive, performed in our office usually under a local anesthesia, and requires no stitches or long healing times. They are designed to function immediately because of the self tapping action. The implants are placed in the jawbone with the head protruding above the gum-line and provide a solid foundation. Keyhole dental implant systems have proven to be durable and long lasting. The longevity of keyhole dental implants are comparable and in many cases exceeding conventional dental implants.

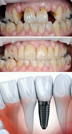
2. Single Tooth Implant :

If you are missing a single tooth, one implant and a crown can replace it. A dental implant replaces both the lost natural tooth and its root.

A dental implant provides several advantages over other tooth replacement options. In addition to looking and functioning like a natural tooth, a dental implant replaces a single tooth without sacrificing the health of neighboring teeth. The other common treatment for the loss of a single tooth, a tooth-supported fixed bridge, requires that adjacent teeth be ground down to support the cemented bridge.

Because a dental implant will replace your tooth root, the bone is better preserved. With a bridge, some of the bone that previously surrounded the tooth begins to resorb (deteriorate). Dental implants integrate with your jawbone, helping to keep the bone healthy and intact.

In the long term, a single implant can be more esthetic and easier to keep clean than a bridge. Gums can recede around a bridge, leaving a visible defect when the metal base or collar of the bridge becomes exposed. Resorbed bone beneath the bridge can lead to an unattractive smile. And, the cement holding the bridge in place can wash out, allowing bacteria to decay the teeth that anchor the bridge.

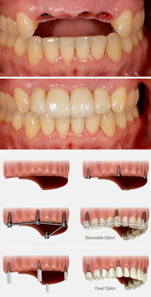
3. Multiple Teeth Implant :

If you are missing several teeth, implant-supported bridges can replace them. Dental implants will replace both your lost natural teeth and some of the roots.

Dental implants provide several advantages over other teeth replacement options. In addition to looking and functioning like natural teeth, implant-supported bridges replace teeth without support from adjacent natural teeth. Other common treatments for the loss of several teeth, such as fixed bridges or removable partial dentures, are dependent on support from adjacent teeth.

In addition, because implant-supported bridges will replace some of your tooth roots, your bone is better preserved. With a fixed bridge or removable partial denture, the bone that previously surrounded the tooth root may begin to resorb (deteriorate). Dental implants integrate with your jawbone, helping to keep the bone healthy and intact.

In the long term, implants are esthetic, functional and comfortable. Gums and bone can recede around a fixed bridge or removable partial denture, leaving a visible defect. Resorbed bone beneath bridges or removable partial dentures can lead to a collapsed, unattractive smile. The cement holding bridges in place can wash out, allowing bacteria to decay teeth that anchor the bridge. In addition, removable partial dentures can move around in the mouth and reduce your ability to eat certain foods.

4. Full Mouth Reconstruction :

Full mouth reconstruction, full mouth rehabilitation and full mouth restoration are terms often used interchangeably to describe the process of rebuilding or simultaneously restoring all of the teeth in both the upper and lower jaws.

Full mouth reconstruction typically involves general or restorative dentists (performing procedures like crowns, bridges and veneers), and can incorporate dental specialists like periodontists (specializing in the gums), oral surgeons, orthodontists (specializing in tooth movements and positions) and endodontists (specializing in the tooth pulp).

Most full mouth reconstructions involve multiple phases and visits. It is not unreasonable to expect treatment to take 12 months or more, depending on the patient’s situation.

5. All-on-4 :

With the advances in implant dentistry now available from The Implant Center at Dental Associates, you can soon be eating what you want, when you want and where you want. Your facial muscle tone will be restored. You’ll put 20 years of life back in your smile. You’ll regain the self-confidence and quality of life you lost when you lost your teeth. And you’ll be able to get it all in as little as one day. The Implant Center at Dental Associates is proud to offer the innovative and technologically advanced All-on-4 (AO4) dental implant technique. If you wear dentures or have a mouthful of missing or failing teeth, the All-on-4 procedure is the optimal solution. It is proven and cost effective. And it will give you a lifetime of happy, healthy smiles.

The All-on-4 dental implant technique offers both immediate and long-lasting benefits :
a. Get immediate results
b. Improve your appearance
c. Eat what you want, when you want, where you want
d. Get a long-lasting smile
e. Eliminate health issues associated with failing teeth
f. Easily care for your teeth

6. Overdentures :

In many cases, the patient’s existing denture can be modified to this system and will fit your new dental implants, saving you the expense of an entirely new denture. One popular option has the stability of a fixed denture, but with the convenience of a removable denture. The denture will not move or disengage from the dental implants with regular movements such as eating or speaking but can be easily removed whenever necessary. When the patient need to remove the denture, you just apply pressure in a lifting motion with your thumbs, and your denture pops off the dental implants easily.

Reduced need for bone grafting. The special tilting of two of the implants ensures a secure and stable anchorage for the replaced arch, typically making bone grafting unnecessary.

7. Computer-guided Implant :

Computer guided implant surgery represents a giant step forward in the replacement of teeth with dental implants. Using Computerized Tomography (CT) Scan techniques and 3-D imaging, dentists can now visualize the placement of dental implants in three dimensions. This eliminates the guesswork involved determining what parts of the jawbone offer the best sites for dental implant placement.

It also allows the dentist to create the permanent restoration prior to surgery and place the restoration the day of the surgery. Computer guided implant surgery provides greater patient satisfaction and simplifies the dental implant treatment process. This revolutionary system offers a more accurate and safer positioning of dental implants and provides the patient with permanent teeth in about an hour. This technology enables your doctor to get an advanced, detailed look at the interior sections of the jaw bone, surrounding tissue and the nerves. These CT scan machines are the same as those used to aid surgeons in joint replacement procedures.

The end result are :

a. Immediate function of your dental implants.
b. Less pain during the appointment and during the post-operative recovery period.
c. A highly aesthetic and functional result because of the careful planning.

8. Sinus Augmentation :

A Sinus Augmentation or Sinus Lift is done when there is not enough bone height in the upper jaw, or the sinuses are too close to the jaw, for dental implants to be placed. A Sinus Augmentation or Sinus Lift is surgery that adds bone to your upper jaw in the area of your molars and premolars. The bone is added between the patient’s jaw and the maxillary sinuses, which are on either side of your nose. To make room for the bone, the sinus membrane has to be moved upward, or "lifted." A sinus lift usually is done by a specialist. This could be either an oral and maxillofacial surgeon or a Periodontist.

There are several reasons for this :

a. Many people who have lost teeth in their upper jaw — particularly the back teeth, or molars — do not have enough bone for implants to be placed. Because of the anatomy of the skull, the back of the upper jaw has less bone than the lower jaw.

b. Bone may have been lost because of periodontal (gum) disease.

c. Tooth loss may have led to a loss of bone as well. Once teeth are gone, bone begins to be resorbed (absorbed back into the body). If teeth have been missing for a long time, there often is not enough bone left to place implants.

d. Tooth loss may have led to a loss of bone as well. Once teeth are gone, bone begins to be resorbed (absorbed back into the body). If teeth have been missing for a long time, there often is not enough bone left to place implants.

e. The maxillary sinus may be too close to the upper jaw for implants to be placed. The shape and the size of this sinus vary from person to person. The sinus also can get larger as you age. Sinus lifts have become common during the last 15 years as more people get dental implants to replace missing teeth.

ONLINE HASSLE FREE Appointment BOOKING

Specialised Dental Treatment | Maxillo Facial Surgery | Head-Neck Oncology || Aesthetic Surgery || ENT